🎯 TARIFAS ACTUALES Válidas hasta 16 de julio 📅 ¡Reserva HOY y mantén el precio!     🎯 TARIFAS ACTUALES Válidas hasta 16 de julio 📅 ¡Reserva HOY y mantén el precio!     🎯 TARIFAS ACTUALES Válidas hasta 16 de julio 📅 ¡Reserva HOY y mantén el precio!

Ortodoncia y diseño de sonrisa digital

Ortodoncia y diseño de sonrisa digital

Ortodoncia y estética dental

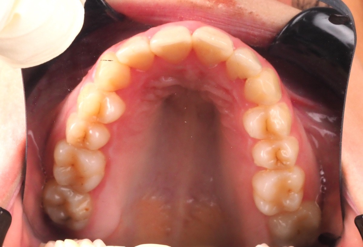
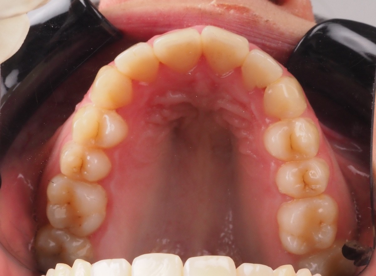
Clase I

OLYMPUS DIGITAL CAMERA
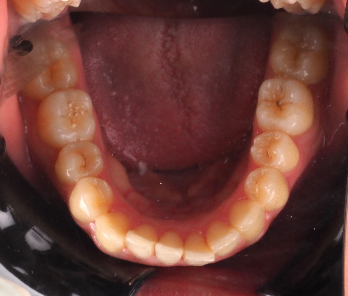
Arcada inferior tratamiento xxx jjjjaa
OLYMPUS DIGITAL CAMERA
OLYMPUS DIGITAL CAMERA
OLYMPUS DIGITAL CAMERA

CASOS SIMILARES

  • CLASE_I__APIÑAMIENTO_SEVERO_
  • -I04
  • CLASE_I__APINŽAMIENTO_MODERADO
  • -I06
  • CLASE_I__APIÑAMIENTO_SEVERO-_
  • CLASE_I__DIASTEMA_CENTRAL_SUPERIOR__APIÑAMIENTO_SEVERO_INFERIOR_

RESERVA CITA CON NOSOTROS

es_ES

LA CLÍNICA ESTÁ CERRADA EN AGOSTO.

Puedes agendar ahora tu primera visita en la web y asegurar tu plaza para diagnóstico gratuito completo en septiembre.