🎯 TARIFAS ACTUALES Válidas hasta 16 de julio 📅 ¡Reserva HOY y mantén el precio!     🎯 TARIFAS ACTUALES Válidas hasta 16 de julio 📅 ¡Reserva HOY y mantén el precio!     🎯 TARIFAS ACTUALES Válidas hasta 16 de julio 📅 ¡Reserva HOY y mantén el precio!

Ortodoncia y diseño de sonrisa digital

Ortodoncia y diseño de sonrisa digital

Ortodoncia y estética dental

corregir sobremordida

Cómo Corregir la Sobremordida: Tratamientos y Soluciones

Notas que tus dientes superiores cubren demasiado los inferiores y no sabes si es normal. Quizá te han dicho que tienes sobremordida y te preguntas qué implica y cómo se puede solucionar.

En esta guía completa te explicamos qué es exactamente la sobremordida, cómo detectarla, qué consecuencias tiene si no se trata y cuáles son los tratamientos más efectivos para corregirla. Si buscas especialistas en ortodoncia invisible en Barcelona, podemos ayudarte a recuperar una mordida correcta y una sonrisa armónica.

Contenido

¿Qué es la sobremordida?

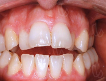
La sobremordida es un tipo de maloclusión dental en la que los dientes superiores cubren excesivamente los dientes inferiores al cerrar la boca.

En una mordida normal, los dientes superiores deben cubrir aproximadamente un tercio de los inferiores. Cuando esta superposición es mayor, estamos ante una sobremordida.

En casos severos, los dientes superiores pueden llegar a cubrir completamente los inferiores, e incluso los incisivos inferiores pueden tocar el paladar o la encía superior al morder.

También se conoce como mordida profunda y es una de las maloclusiones más frecuentes en la población.

Tipos de sobremordida: vertical y horizontal

Existen dos tipos principales de sobremordida según la dirección del problema:

Sobremordida vertical (mordida profunda): Los dientes superiores cubren excesivamente los inferiores en sentido vertical. Es el tipo más común. Los incisivos superiores tapan más de un tercio de los inferiores.

Sobremordida horizontal (resalte): Los dientes superiores están muy adelantados respecto a los inferiores. Existe una distancia horizontal excesiva entre ambas arcadas.

Además, según su origen, la sobremordida puede ser:

Dental: El problema está en la posición de los dientes, no en los huesos.

Esquelética: El problema está en el tamaño o posición del maxilar y/o la mandíbula. Suele requerir tratamientos más complejos.

Causas de la sobremordida

La sobremordida puede originarse por diferentes factores:

Genética: Es la causa más frecuente. Si tus padres tienen sobremordida, hay más probabilidades de que tú también la desarrolles. El tamaño y forma de los maxilares se heredan.

Hábitos infantiles: Chuparse el dedo, usar chupete durante demasiado tiempo o empujar la lengua contra los dientes pueden provocar alteraciones en el desarrollo de la mordida.

Pérdida de dientes: Cuando se pierde un diente y no se repone, los dientes adyacentes pueden moverse y alterar la mordida.

Bruxismo: Rechinar los dientes de forma habitual puede desgastarlos y modificar la oclusión con el tiempo.

Respiración bucal: Respirar por la boca en lugar de por la nariz durante la infancia puede afectar al desarrollo de los maxilares.

corregir sobremordida

Síntomas: cómo saber si tienes sobremordida

Estos son los signos que pueden indicar que tienes sobremordida:

Al sonreír: Los dientes inferiores apenas se ven o no se ven en absoluto cuando sonríes.

Al morder: Sientes que los dientes superiores cubren demasiado los inferiores. En casos severos, los incisivos inferiores pueden tocar el paladar.

Desgaste dental: Los dientes presentan un desgaste anormal, especialmente en los bordes de los incisivos.

Dolor mandibular: Molestias en la articulación de la mandíbula (ATM), especialmente al masticar o al despertar.

Dolores de cabeza frecuentes: La tensión en la mandíbula puede provocar cefaleas.

Dificultad para morder ciertos alimentos: Problemas al morder con los dientes frontales.

Si identificas varios de estos síntomas, te recomendamos acudir a un ortodoncista para una valoración profesional.

Consecuencias de no corregir la sobremordida

Si no se corrige, la sobremordida puede provocar diversos problemas a largo plazo:

Desgaste dental prematuro: Los dientes rozan de forma incorrecta, provocando un desgaste acelerado del esmalte.

Problemas en la articulación temporomandibular (ATM): Dolor, chasquidos o bloqueos en la mandíbula.

Bruxismo: La mala oclusión favorece el rechinar de dientes, especialmente durante la noche.

Enfermedad periodontal: La sobrecarga en algunos dientes puede dañar las encías y el hueso que los sostiene.

Dificultades para masticar: Una mordida incorrecta dificulta la trituración adecuada de los alimentos.

Problemas estéticos: La sobremordida severa puede afectar la armonía facial y la confianza al sonreír.

Problemas del habla: En algunos casos puede afectar a la pronunciación de ciertos sonidos.

¿A qué edad se puede corregir la sobremordida?

La sobremordida puede corregirse a cualquier edad, aunque el tratamiento varía según la etapa de la vida:

Niños (6-11 años): Es la edad ideal para intervenir. Con ortodoncia interceptiva se puede guiar el crecimiento de los huesos maxilares mientras aún están en desarrollo. Los tratamientos son más cortos y sencillos.

Adolescentes (12-18 años): Los huesos ya han terminado de crecer, pero los dientes se mueven con facilidad. Se utilizan brackets o alineadores invisibles para corregir la posición dental.

Adultos: También es posible corregir la sobremordida en la edad adulta mediante ortodoncia. En casos severos de origen esquelético puede ser necesaria cirugía ortognática.

Cuanto antes se detecte y trate, más sencillo y rápido será el tratamiento. Por eso se recomienda una primera visita al ortodoncista a los 6 años.

Tratamientos para corregir la sobremordida

El tratamiento para corregir la sobremordida depende de su causa, severidad y edad del paciente:

Ortodoncia interceptiva (niños): Aparatos que guían el crecimiento de los huesos maxilares durante la infancia. Pueden prevenir problemas mayores en el futuro.

Brackets: Los aparatos fijos tradicionales son muy efectivos para corregir la sobremordida. Pueden ser metálicos, de zafiro o linguales (por dentro de los dientes).

Ortodoncia invisible (Invisalign): Alineadores transparentes removibles que corrigen la posición de los dientes de forma discreta.

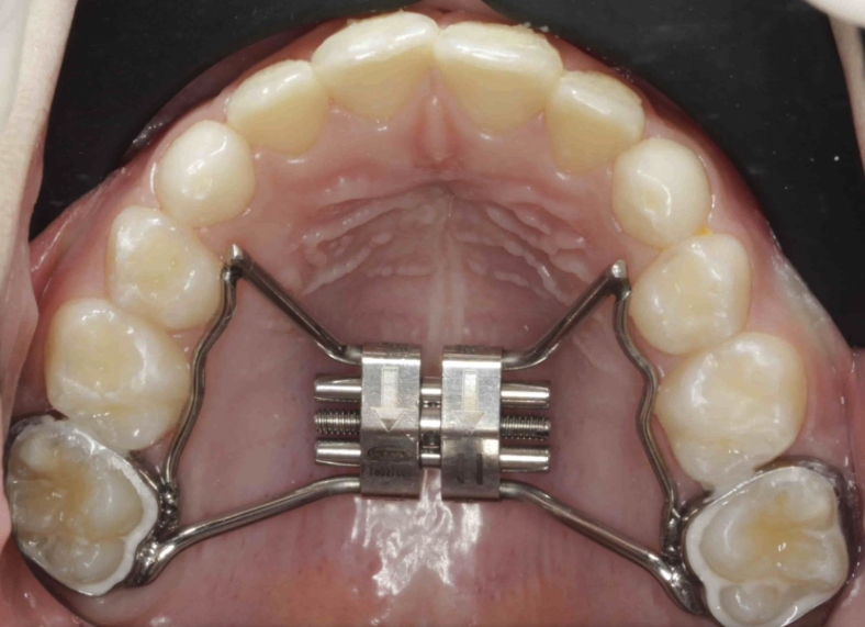
Cirugía ortognática: En casos severos de sobremordida esquelética en adultos, puede ser necesaria una intervención quirúrgica para reposicionar los huesos maxilares.

El ortodoncista determinará cuál es el tratamiento más adecuado tras una valoración completa del caso.

Ortodoncia invisible para corregir la sobremordida

La ortodoncia invisible es una de las opciones más populares para corregir la sobremordida en adolescentes y adultos.

¿Cómo funciona? Se utilizan una serie de alineadores transparentes fabricados a medida que van moviendo los dientes gradualmente hasta conseguir la posición correcta.

Ventajas:

– Prácticamente invisibles: nadie notará que llevas ortodoncia.

– Removibles: se quitan para comer y cepillarse los dientes.

– Cómodos: no producen rozaduras ni llagas.

– Menos visitas a la clínica que con brackets convencionales.

¿Es efectiva para la sobremordida? Sí, la ortodoncia invisible puede corregir la mayoría de casos de sobremordida de origen dental. Solo en casos muy severos o de origen esquelético puede ser necesario otro tipo de tratamiento.

Cirugía ortognática: cuándo es necesaria

La cirugía ortognática se reserva para casos de sobremordida severa de origen esquelético que no pueden corregirse solo con ortodoncia.

¿Cuándo es necesaria?

– Cuando el problema está en el tamaño o posición de los huesos maxilares, no solo en los dientes.

– En adultos con sobremordida severa que no respondería adecuadamente a la ortodoncia.

– Cuando la sobremordida causa problemas funcionales importantes (respiración, masticación, habla).

¿En qué consiste? El cirujano maxilofacial reposiciona los huesos maxilares para conseguir una oclusión correcta. Se combina con ortodoncia antes y después de la intervención.

Resultados: Además de corregir la mordida, mejora la armonía facial, la función masticatoria y, en muchos casos, la respiración. Los resultados son permanentes.

¿Cuánto tiempo se tarda en corregir la sobremordida?

La duración del tratamiento para corregir la sobremordida varía según varios factores:

Ortodoncia interceptiva (niños): Entre 6 y 12 meses de tratamiento activo, más un periodo de retención.

Ortodoncia con brackets o alineadores: Entre 12 y 24 meses en la mayoría de casos. Las sobremordidas leves pueden corregirse en menos tiempo.

Ortodoncia + cirugía ortognática: Entre 24 y 36 meses en total, incluyendo la ortodoncia previa y posterior a la cirugía.

Factores que influyen en la duración:

– Severidad de la sobremordida.

– Edad del paciente.

– Colaboración del paciente (especialmente con alineadores removibles).

– Presencia de otros problemas asociados (apiñamiento, mordida cruzada, etc.).

¿Duele corregir la sobremordida?

Corregir la sobremordida no duele, aunque es normal experimentar algunas molestias durante el tratamiento:

Primeros días con ortodoncia: Es habitual sentir presión o sensibilidad en los dientes tras colocar los brackets o estrenar unos nuevos alineadores. Esta molestia desaparece en 2-3 días.

Durante el tratamiento: Pueden aparecer pequeñas molestias tras los ajustes periódicos, pero son tolerables y temporales.

Con brackets: Las primeras semanas pueden producirse pequeñas rozaduras en labios o mejillas hasta que la boca se adapta.

Cirugía ortognática: El postoperatorio requiere unos días de reposo y medicación para el dolor, pero es perfectamente manejable.

En general, las molestias son leves y temporales. El resultado final merece la pena.

Precio de corregir la sobremordida

Si no se usan los retenedores correctamente después del tratamiento, existe riesgo de recidiva. Por eso es fundamental seguir las indicaciones del ortodoncista y usar los retenedores el tiempo indicado (normalmente de forma indefinida por las noches).

En la mayoría de casos de sobremordida de origen dental, sí. Invisalign es muy efectivo para corregir este tipo de maloclusión. Solo en casos muy severos o de origen esquelético puede ser necesario complementar con otros tratamientos.

Sí, la genética es la causa más frecuente de sobremordida. El tamaño y forma de los maxilares se heredan de padres a hijos. Si alguno de tus padres tiene sobremordida, hay más probabilidades de que tú también la desarrolles.

En casos severos, la sobremordida puede afectar a la pronunciación de algunos sonidos, especialmente los que requieren que la lengua contacte con los dientes frontales. Al corregir la mordida, estos problemas suelen desaparecer.

Si no se trata, la sobremordida puede provocar desgaste dental prematuro, problemas en la articulación de la mandíbula (ATM), bruxismo, enfermedad periodontal y dificultades para masticar. Cuanto antes se trate, más sencillo será el tratamiento.

El precio de corregir la sobremordida depende del tratamiento necesario:

Ortodoncia interceptiva (niños): 1.000€ – 2.500€

Brackets metálicos: 2.500€ – 4.000€

Brackets estéticos (zafiro/cerámica): 3.500€ – 5.000€

Ortodoncia invisible (Invisalign): 3.000€ – 5.500€

Cirugía ortognática + ortodoncia: 15.000€ – 25.000€

Factores que influyen en el precio:

– Complejidad y duración del tratamiento.

– Tipo de aparatología elegida.

– Experiencia del profesional.

– Ubicación de la clínica.

La mayoría de clínicas ofrecen facilidades de pago y financiación. Lo más recomendable es solicitar una valoración personalizada para conocer el presupuesto exacto.

¿De cuánta utilidad te ha parecido este contenido?

¡Haz clic en una estrella para puntuarlo!

Puntuación media 0 / 5. Recuento de votos: 0

Hasta ahora, ¡no hay votos!. Sé el primero en puntuar este contenido.

Más Noticias
es_ES

LA CLÍNICA ESTÁ CERRADA EN AGOSTO.

Puedes agendar ahora tu primera visita en la web y asegurar tu plaza para diagnóstico gratuito completo en septiembre.