
Apiñamiento Dental: Causas, Soluciones y Tratamientos
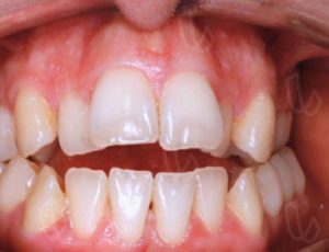
El apiñamiento dental es la maloclusión más frecuente en la población. Más del 50% de las personas tienen los dientes
Ortodoncia y diseño de sonrisa digital
Ortodoncia y diseño de sonrisa digital
Ortodoncia y estética dental

El apiñamiento dental es la maloclusión más frecuente en la población. Más del 50% de las personas tienen los dientes

¿No puedes cerrar completamente los dientes al morder? ¿Notas un espacio entre tus dientes superiores e inferiores cuando cierras la

Notas que tus dientes superiores cubren demasiado los inferiores y no sabes si es normal. Quizá te han dicho que

El ortodoncista te ha dicho que tu hijo necesita un disyuntor dental y no sabes muy bien qué es ni

La sonrisa gingival, también conocida como gummy smile, es una de las preocupaciones estéticas más comunes en odontología. Se caracteriza

¿Alguna vez has soñado con tener una sonrisa perfecta pero te ha frenado el miedo a llevar brackets? ¡Buenas noticias!

El refinamiento Invisalign es un paso crucial para aquellos que buscan la perfección en su tratamiento de ortodoncia invisible. Esta

En el mundo de la estética dental, la combinación de carillas con Invisalign representa una revolución, ofreciendo una solución integral

La culminación exitosa de un tratamiento de ortodoncia con Invisalign lleva a un paso esencial: el uso de retenedores Invisalign.

Las gomas Invisalign, un componente crucial en el tratamiento de ortodoncia, juegan un papel fundamental en la corrección de la

«Invisalign para adolescentes» es una opción de tratamiento ortodóntico cada vez más popular entre los jóvenes que buscan una alternativa

La ortodoncia invisible para adultos se ha convertido en una opción cada vez más popular para aquellos que buscan mejorar

La ortodoncia invisible infantil es una excelente opción para los más pequeños que necesitan corrección dental. Este tratamiento, utilizando el

A menudo, se escucha el término «Invisible Line» en referencia a tratamientos de ortodoncia invisible. Es importante aclarar que «Invisible

La prótesis dental invisible representa una revolución en el mundo de las restauraciones dentales. Este avance tecnológico ofrece una solución

El corrector invisible de dientes está revolucionando la ortodoncia, ofreciendo una alternativa discreta y eficiente para lograr una sonrisa perfecta.

«Invisalign dientes» no solo es una frase; es la promesa de una sonrisa transformada. Este tratamiento innovador se ha convertido

Las fundas transparentes para dientes representan un avance significativo en la estética dental. Ofrecen una solución casi invisible para quienes

El aparato transparente ha revolucionado el mundo de la ortodoncia, combinando eficacia con una estética casi invisible. Este tratamiento, ideal

La evolución de la ortodoncia ha dado un gran salto con los alineadores invisibles, una solución moderna para corregir la

La ortodoncia ha evolucionado significativamente en los últimos años, ofreciendo soluciones más estéticas y cómodas para los pacientes. Uno de

Cuando se trata de mejorar tu sonrisa, conocer el presupuesto de Invisalign es un paso esencial. Este tratamiento innovador ofrece

Este tratamiento, conocido por su capacidad de corregir sonrisas de manera casi invisible, no tiene límite de edad. Desde adolescentes

Al buscar una sonrisa más blanca y brillante, muchos optan por el blanqueamiento dental. Sin embargo, el cuidado post-tratamiento es

Cuidar la zona de la boca es muy importante porque es una parte de la cara que llama mucho la

¿En qué consiste el blanqueamiento dental? El blanqueamiento dental es un proceso clínico que consiste en aclarar el color de

¿Cuál es el músculo más potente, fuerte en relación a su tamaño y dónde se encuentra? Si muchos habéis pensado

Se dice que nuestra musculatura facial, la que genera los gestos de la cara, es la más desarrollada en el

La salud bucodental tiene una estrecha relación con la salud general del organismo ya que la boca refleja indicios y

Sí, tus dientes son únicos así como lo son tus huellas dactilares. Nadie más puede tener otros iguales. Este es

Clínica de Invisalign® Doctora Mariana Sacoto Navia, usamos Invisalign® desde el año 2002. Zia Chishti y Kelsey Wirth dos estudiantes

A pesar de la creencia común, los dientes no están formados por hueso. Es decir, los dientes no son huesos,
LA CLÍNICA ESTÁ CERRADA EN AGOSTO.
Puedes agendar ahora tu primera visita en la web y asegurar tu plaza para diagnóstico gratuito completo en septiembre.